
늘어지고 볼록한 눈밑을 개선하여
생기 가득 탄력있는
동안 눈매로 바뀌고 싶다면
AMOND
하안검성형
늘어진 눈밑 교정으로 기능적•심미적 개선을 동시에
최소한의 절개로 흉터•부기 최소화
세밀한 분석을 통한 1:1 맞춤 디자인 설계
아몬드 하안검성형은 노화로 인해 늘어진 눈꺼풀 아래 피부, 지방을 제거 및 재배치하는 수술로, 칙칙한 눈 밑을 밝고 환하게 만들어주는 동시에
느슨해진 눈 주위 근육에 탄력을 더해 한층 더 매끈하고 탱탱한 생기있는 동안 눈매를 선사하는 맞춤형 안티에이징 솔루션입니다.
Information
수술시간
2시간 내외
마취방법
수면/국소
실밥제거
7일 후
회복기간
큰 부기 2주 이내
흉터
맞춤 절개로
흉터 최소화
How?
하안검성형 전과 후 어떻게
달라질 수 있을까?
BEFORE
다크서클
색소침착
눈 밑 처짐
어두운 인상
AFTER
탄력
환한 인상
동안 효과
밝은 인상
아몬드 하안검성형
Check Point!
#아몬드하안검
#라이너트임
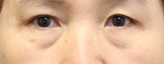
수술 전
수술후 한달 차
케이스
눈 밑 불룩함과 꺼짐 및 주름이 동시에 있는 분으로 불룩함이 나이대에 비해 심하신 편은 아니지만
좀 더 어려보이는 눈 밑을 원하셨습니다.
수술계획
늘어진 눈 밑 피부 처리를 위해 눈밑지방재배치 보다는 하안검 수술을 권해드렸고,
좀 더 선하고 어려보이는 눈매를 위해 라이너트임까지 같이 진행하였습니다.
수술경과
눈 밑에 불룩함과 주름이 많이 개선되었고 라이너트임과 같이 진행하여서 수술 전에 비해 편평하고
어려진 느낌의 눈 밑을 얻게 되었습니다.
하안검 수술방법
아몬드성형외과 원장님의 특화된 수술 방법!
문제점 분석 후
1:1 맞춤 디자인 설계
절개 후 불필요한
지방제거 및 재배치
늘어진 피부 제거
눈 밑 지방 재배치 후
꼼꼼하게 봉합
조명을 켠듯한 환한 눈 밑 완성
아몬드 하안검성형
수술 전
한달차
수술 전
한달차
수술 전
한달차
수술 전
한달차
수술 전
한달차
수술 전
한달차
좌우로 스크롤을 움직여 확인해보세요.
A MOMENT OF NEW DAY